Zahnspangen
Unsere Zahnspangen für kieferorthopädische Behandlungen bei Jugendlichen und Erwachsenen
- Unsichtbare Schienenspangen für Erwachsene (‚Essix‘, ‚Orthocaps‘, unsichtbar)
- Innen an den Zähnen geklebte Brackets (ebrace und Forestadent, unsichtbar)
- Weisse Keramikbrackets, weisse Drähte (fast unsichtbar)
- Nachtspangen, herausnehmbar (unsichtbar)
- Tip-Edge PLUS Bracket – Spangen, sichtbare, sehr kleine Metal-Brackets
Das Wichtigste zuerst: Unsere fixe «Plättlispange» funktioniert anders als die meisten anderen fixen Spangen. «TIP-EDGE Plus Orthodontics» ist duch fogenden Eigenschaften gekenntzeichnet:
- ‚Tip-Edge‘ kippt die Zähne anfänglich mit ganz leichten Kräften an ihre richtige Position im Zahnbogen, denn Zähne wollen sich naturgemäs durch Kippen bewegen
- Dazu hängt der Patient nur zwei ganz leichte Elastiks ein – sonst nichts
- Ein optimales und stabiles Behandlungsresultat basierend auf sehr langer Erfahrung mit dieser Therapieform.
- Die Retention (Bewahren des Resultats) nach der Behandlung machen wir mit innen geklebten, dank neuem Design gut zu reinigenden Retainer-Drähten
Wir planen für jeden Patienten den individuell besten Weg für die Korrektur seiner Zahnfehlstellung. Wir verwenden bei einfacheren Behandlungen auch abnehmbare Spangen, unsichtbare Schienen und die Lingualtechnik (das sind von aussen unsichtbare Metallbrackets an die Innenseite der Zähne geklebt). Bei Erwachsenen verwenden wir die fast unsichtbaren weissen Keramik-Brackets, die kaum auffallen.
Und noch ein Wort zu unserer oben erwähnten «TIP-EDGE Plus Orthodontics»- Methode: Sie wird weltweit an über 50 Universitäten gelehrt. (Zitat Dr. P.C. Kesling, U.S.A.)






Schnellübersicht für Patienten/Eltern
Zahnspangen und Behandlungen im TIVOLIFABRIK ORTHODONTIC CENTER AG THUN
| Sie haben/Ihr Kind hat eine Zahnfehlstellung | Zahnspangen: Welche ist die richtige? | Anwendung bei Jugendlichen | Anwendung bei Erwachsenen | |
| Leichte Zahnfehlstellung Therapiedauer ca. 1/4 bis 3/4 Jahr | Durchsichtige Schienen (unsichtbar) | nein | ja | |
| Nachstspangen, herausnehmbar | ja | ja | ||
| Innen geklebte Brackets (unsichtbar) | nein | ja | ||
| Metalbrackets | ja | ja | ||
| Weisse Keramik-Bräckets (fast unsichtbar) | auf Wunsch | ja | ||
| Mittelschwere Zahnfehlstellung Dauer ca. 1/2 bis 1 Jahr | Metalbrackets (silberfarben) | ja | ja | |
| Weisse Keramik-Brackets | auf Wunsch | ja | ||
| Schwere Kiefer-und Zahnfehlstellung Dauer ca. 1-2 Jahre | Metalbrackets | ja | ja | |
| Weisse Keramik Brackets (fast unsichtbar) | auf Wunsch | ja | ||
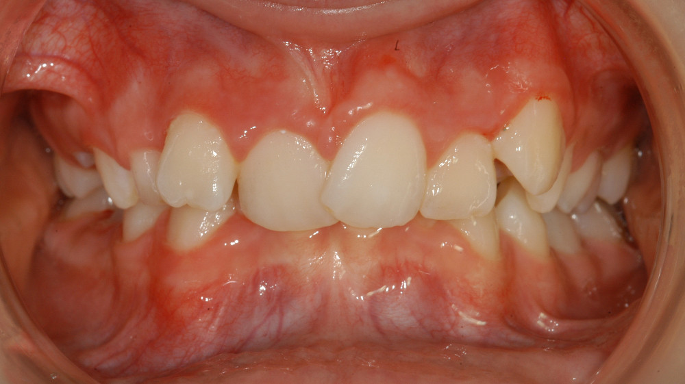
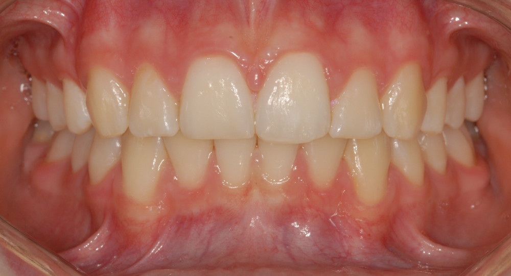
| Sehr schwere Kiefer-und Zahnfehlstellung Dauer ca. 2-3 Jahre, ev. mit Kieferchirurgie | Metalbrackets | ja | ja | Bild |
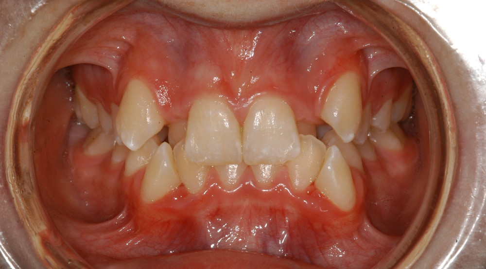
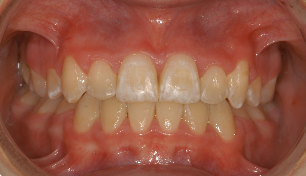
| ev. mit Chirurgie in Bern (Lindenhofspital) | Bild |
Behandlungskosten: Diese können sehr stark variieren; nach einer ersten Konsultation kann der Kostenrahmen abgeschätzt werden.
Glossar (einige Fachabkürzungen):
Fachzahnarzt für Kieferorthopädie SSO = Spezialistentitel (Schweiz)
Master of Orthodontics = Spezialistentitel DANUBE Universität Krems an der Donau (AUT)
KFO = Kieferorthopädie
TIP-EDGE PLUS Orthodontics = fixe Plättlispange mit ultraleichten Kräften
Brackets = Metallplättli (weisse Keramik – und Metallbrackets)
Retainerdrähte = innen an die Zähne geklebte Titan-Drähte nach der fixen Therapie zum Halten der Zahnstellung
OPT, FRS, DVD-Röntgen = Standart- Röntgenbilder für die Diagnose/Versicherungen
